矯正歯科について
歯並びが悪いと、口元がおかしくなるだけでなく、虫歯や歯周病になりやすくなったり、発音がおかしくなることもあります。
また、食物を噛む能力も低くなります。歯科矯正はこのような障害を除いて、心身ともに健康な状態にするとともに、このような不正にならないように予防する歯科医学です。
こんな歯並びの
お悩みありませんか
-
出っ歯(上顎前突)
上の前歯が下の前歯より著しく突出しているケースです。遺伝的要因のほか、指しゃぶりや歯の裏側を舌で押す癖があるなどの環境的要因によっても生じます。
-
受け口(下顎前突)
下の前歯が上の前歯よりも著しく突出しているケースです。上顎前突と同様に遺伝的要因のほか、指しゃぶりなどの悪癖が発症に関わっていることもあります。
-
開咬
奥歯で噛んだときに前歯かみ合っていない状態です。咀嚼が十分にできなかったり、奥歯にダメージが蓄積したり、口呼吸になりやすかったりします。
-
叢生(そうせい)
歯が重なってバラバラに生えている状態です。叢生は日本人に多く、八重歯も叢生の一種と言えます。ブラッシングの難しさから、虫歯や歯周病のリスクが特に高い不正咬合です。
-
空隙歯列(くうげきしれつ)
歯と歯の間に隙間が生じている状態です。永久歯に生え変わる時期の空隙歯列は特に問題となりません。ただ永久歯が生え揃ってからも隙間があいている場合は治療が必要なケースもあります。
-
過蓋咬合(かがいこうごう)
上の歯が下の歯にほとんど覆いかぶさっている状態です。見た目にはほとんど問題ありませんが、噛み締めが強いことから、歯ぎしりや食いしばり、顎関節症を発症するリスクが高まります。
当院のLINE無料相談について
「LINE無料相談」では、友だち登録をしてトーク機能を使ってやりとりを行います。
「友だち登録」をしていただき、当院へご相談内容をお送りください。
そのお悩み、治療で簡単に解決できるかもしれません。
お気軽にご相談下さい。
※『LINE無料相談』ご利用の際の注意点
治療のご予約はLINEではお受けできません。ご予約はお電話またはWEB予約フォームをご利用ください。予約の「日時変更」や「キャンセル」もLINEでは対応しておりませんので、ご注意ください。
『LINE無料相談』は、歯の症状に対する一般的なアドバイスを提供するもので、診察や診断の代わりにはなりません。また、セカンドオピニオンとしての機能も持ちません。実際の診断や治療については、来院時にご相談ください。
LINEによる相談内容は、矯正担当の歯科医師が確認後に返信いたしますので、お時間をいただく場合があります。「既読」になってもすぐに返信できないことがありますので、ご了承ください。
『LINE無料相談』は治療に関する簡単なご相談を目的としたものであり、当院との連絡手段としてはご利用いただけません。
矯正治療について
歯並びの悪い人は、あご(歯槽骨)の大きさと歯の大きさとの釣り合いがとれていない場合が多いようです。小さなあご歯槽骨)に大きな歯が並べば、出っ歯になったり、乱ぐい歯になったり、八重歯になったりします。 こんな時は、土台の大きさを横や前、後ろに広げたり、どうしてもの時は歯の数を減らしてあご(歯槽骨)の大きさにあわせなければなりません。
もちろん歯を抜いた場合の隙間は残りの歯を移動して閉じます。悪い歯並びを治すには歯を移動します。しかし、歯の根はあご(歯槽骨)の中に埋まっているので、歯が動くためには、根の埋まっている周囲の骨が吸収したり、あるいは新たに骨が出来たりする必要があります。
この骨の吸収やできあがりの早さは個人差がありますので歯の移動時間にも個人差があります。歯を動かし、上下のかみ合わせを治すのには、短い場合でも 2年くらいかかります。
矯正治療のメリット
-
01
歯並びが整い
笑顔に自信が持てます -
02
横顔のフェイスラインも
すっきりとします -
03
かみ合わせが整い
食事がより楽しみに -
04
お口のケアがしやすくなり
予防効果がアップ -
05
会話するときも
発声、発音が明瞭に -
06
異常な顎の骨の
変形を抑制
当院の提供する
矯正装置
セラミック製などの
目立ちにくいブラケット
白や透明色の目立たない色のブラケットを審美ブラケットといいます。
製品によって材料が異なり、樹脂製(プラスチック)やセラミック製などがあります。
当院で使用する基本的なブラケットは、プラスチック製で目立にくい素材で出来ています。 プラスチックでやや耐久性が劣るため見えにくい小臼歯には金属製のブラケットを用いることが多いです。
追加料金(40,000円程度)でジルコニアという素材のブラケットに変更することも可能です。プラスチック製に比べると強度に優れるため小さく違和感が少ないと言われています。
また、歯冠色に近いのでプラス チックブラケットより審美性に優れています。
- 費用
- 693,000~737,000円
- 治療期間
- 症例によりますが3年前後とお考えください(その後保定期間に数年~5年)
- 治療回数
- 治療期間により変動、数カ月に1回
-
Meritメリット
- 多くの種類の不正咬合に対応することができます
- 透明や歯の色に近い白いブラケットのため、装置がメタルブラケットよりも目立ちにくいです
- 非金属製のブラケットは金属アレルギーの方でも治療が可能です
-
Demeritデメリット
- 自費診療のため、保険の治療に比べると費用がかかります
- 保険のメタルブラケットに比べ、費用はやや高額です
- 保険のメタルブラケットと比較すると、多少強度が弱いと言われています(材料により異なります)
リンガルブラケット
(舌側矯正装置・裏側矯正装置)
歯の裏側に装着するブラケットです。
装置が見えにくいため、矯正中と気づかれにくいという点が特徴的です。
- 費用
- 913,000円
- 治療期間
- 症例によりますが3年前後とお考えください(その後保定期間に数年~5年)
- 治療回数
- 治療期間により変動、数カ月に1回
-
Meritメリット
- 歯の裏側に矯正装置をつけるので、表側からは矯正装置が見えづらいです
- 周囲の人から気付かれずに矯正治療を行うことができます
-
Demeritデメリット
- 自費診療のため、保険の治療に比べると費用がかかります
- 装置に慣れるまで舌が装置にあたる違和感を感じたり、発音がしにくい場合があります
- 舌側に装置を装着する技術が必要なため、表側矯正より費用がかかります
マウスピース矯正
(インビザライン)
ワイヤーやブラケットを使わず、透明で薄いマウスピース型の装置を用いて歯を動かします。
装置は自分で取り外し可能です。
当院ではアラインテクノロジー社の「インビザライン」を使用しています。
- 費用
- 935,000円
- 治療期間
- 症例によりますが3年前後とお考えください(その後保定期間に数年~5年)
- 治療回数
- 治療期間により変動、数カ月に1回
-
Meritメリット
- ワイヤーやブラケットを装着しないので、違和感や不快感が少ないのが特徴です
- 薄くて透明なので、周囲の人からほとんど気づかれません
- 普段どおりに歯ブラシができるため、虫歯になりにくいです
-
Demeritデメリット
- 自費診療のため、保険の治療に比べると費用がかかります
- 指定された装着時間を守らないと治療の結果に影響を及ぼすことがあります
- 治療できる症状が表側矯正よりも限定されています
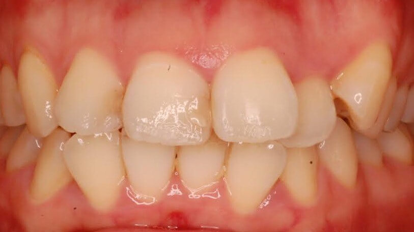
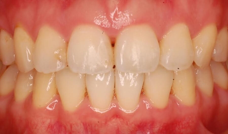
症例紹介
矯正

Before

After
| 主訴 | 歯並びが気になる |
|---|---|
| 診断名 | 歯列不正 |
| 年齢・性別 | 10代 男性 |
| 治療期間・回数 | 2年半、30回 |
| 治療方法 | マルチブラケット装置による全顎矯正治療。 |
| 費用 | 検査診断料 55,000円+装置料 693,000円+5,500円×30 |
| デメリット・注意点 | 矯正期間中は虫歯や歯周病のリスクが高まりますのでしっかりとしたケアが必要です。 |
矯正治療についての
よくある質問
- Q
矯正治療はいつからはじめたらいいですか?
-
A
矯正治療をするのに何歳頃がよいのでしょうか。ある場合は乳歯の時期(3 ~ 5才)に、ある場合には永久歯が生えそろった時期に治療した方がよいことがあります。
また、乳歯から永久歯に移行する期間(6 ~12 歳頃)に治療した方がよい結果を得られる場合もあります。
このように不正の種類や程度によって違ってきますので、患者様一人ひとりについて、よく調べた上でご説明致します。 - Q
矯正治療前にどんなことを行いますか?
-
A
矯正治療をはじめる時には、本人や家族の方々に歯並びに関係するいろいろな質問、調査を行います。
また、歯の型を採ったり、顔や頭の写真やレントゲン写真を撮り、詳細に診査と検査を行います。
この診査と検査の結果を基に、問題とその治療の方法や装置、治療に要する大体の期間などをお話し致します。矯正装置には沢山の種類がありますが、その歯並びを治すのに一番効果的な装置を使います。 - Q
矯正歯科治療中は食べ物に気をつけたらいいですか?
-
A
一般の歯科でつめたり、かぶせたりする補綴物はできるだけとれたりしない方が良いのですが、矯正装置は治療後に必ずはずすものです。
従って、矯正装置を歯につける装着材は比較的はずし易いものを使用しています。
このため、硬いセンベイや厚い肉、氷などをバリバリかむとはずれてしまいます。また、ガムはくっついてはがれなくなることがあります。硬いものと大きなものや粘着性のものは、治療期間中は避けてください。 - Q
通院の頻度はどれくらいですか?
-
A
装置が入った後は、一般的には約 1ヶ月に一度の割合で通院していただきます。
それは矯正装置が働く期間に限度があるからです。
あるところまで歯や骨が動いてしまうとそれ以上は装置が働かなくなります。そこで、次に来院日に装置を調節して、ある期間働くようにします。
ただ、装置の種類によって成長期や、永久歯に生え代わる時期、後戻り防止の時期などは数ヶ月単位の来院になる場合もあります。指示する間隔できちんと通院しないと、よい治療結果は得られません。 - Q
保定期間はどれくらいになりますか?
-
A
歯並びがよくなってからは、歯並びを治すために使用した装置を撤去し、新たに保定装置 (リテーナー )と呼ばれる取り外し式の装置を入れて、歯や骨が新しい位置で安定してくるのを待ちます。
そのことを保定といい、通常、歯並びを治すのにかかった期間と同じ期間が必要であると言われています。この時期には、通院は 2、3ヶ月に一回でよくなります。ところが患者様の方でこれだけ治ったからもうよいと、勝手に判断して保定装置も使用しないで通院をやめる方がいます。
この時期は、見かけは治ったようでも、まだ安定した状態になっていないので、すぐに治療前のような状態に後戻りします。先生が大丈夫と言うまでは保定装置を使っていてください。理想としては保定装置は一生使って欲しいのですが…後戻り防止装置を充分に使用したのに後戻りしてしまったら、装置料は無料で再治療致します。しかし、この装置の使用が不十分で再治療が必要になった際には、治療の一部が有料となることがありますのでご了承下さい。
矯正治療前の注意点
1お口のメンテナンスを
徹底しましょう
矯正治療に用いられる装置は歯に固定され自分では取り外しできないもの(固定式 )と、自由に取り外しが出来るもの(可撤式)があります。固定式の装置では歯磨きをうまくしないと装置の周りに食べ物の残りカスが停滞し、虫歯あるいは歯茎の病気の原因となることがあります。
食事の後は必ず歯磨きを丁寧に行いましょう。矯正装置をつけた後の歯磨きの方法はご指導致します。また、歯の移動には歯の頭だけではなく歯根の移動も必要です。
歯は様々な位置にずれているので、正しい位置に移動する時の方向や量によって歯根に大きな負担がかかり、吸収されることがあります。治療前、あるいは治療期間中に行う 診査や検査によってこの負担を出来るだけ小さくし歯根の吸収を押さえるように注意しています。
予防歯科2治療に伴う痛みについて
治療にとりかかりますと矯正装置を使って歯や骨を動かしていきます。
人によって異なりますが、通常、装置を装着あるいは調節して、歯の移動をはじめると半日後くらいから2日~1週間ほど痛みを感じる場合があります。
特に、成人の場合には少し痛みが長引くことがありますが我慢できない痛みではありません。
患者様へのお願い
1歯科医師の指示に従って
装置をつけてください
予約の約束を守ることができない、装置を歯科医師の指示通りに使わなかったり、自分でいじって何度も壊してしまう方がいますが、こういった場合の責任は当院では負いかねます。
特にお子様につかう小児矯正装置の場合は、はじめによく言い聞かせて於いてあげてください。
2患者様都合での
破損の負担について
患者様の不注意による矯正装置の紛失、または破損については、修理、再製作料として、また、特別な処置が必要になった際は実費を申し受けます。
顎関節症について
顎関節症とは、口を開ける時に顎関節部に痛みや音を伴ったり、あるいは動きがスムーズでなかったりするいろいろな症状をまとめた呼び名です。
顎関節症は、いろいろな原因が重なって起こると考えられています。その原因の一つとしてかみ合わせによるものもあると考えられていますが、その関係は明らかではありません。
かみ合わせを正しくすることで顎関節症の症状が軽減されたりすることがありますが、かみ合わせが原因でない場合は治らない場合もあります。
料金について
小児矯正の費用
-
Ⅰ期治療Aタイプ(使用予定装置が3つ以内) 検査診断料55,000円
装置料297,000円
通院ごとに調整料3,300円(ブラケットが装着されている場合は5,500円) -
Ⅰ期治療Bタイプ(重度の症例) 検査診断料55,000円
装置料330,000円
通院ごとに調整料3,300円(ブラケットが装着されている場合は5,500円) -
Ⅱ期治療 装置料363,000円
通院ごとに調整料5,500円(保定中は 3,300円) -
ムーシールド 検査診断料33,000円
装置料88,000円 通院ごとに調整料3,300円
(※すべて税込価格)
矯正治療は、お子様の場合、特に矯正開始時にはまだ埋まっていた永久歯の生え方、自身の成長によるあごの成長具合など不確定要素が多い治療です。
そこで、当院ではお子様のⅠ期治療において検査診断料・装置料の総額に関して定額制を採用しています。途中で装置が追加になった場合や、装置の破損でも、追加の装置代がかかりません。ただし、矯正治療以外のむし歯治療、抜歯などの料金は別途かかりますのでご了承ください。
成人矯正の費用
-
マルチブラケットAタイプ(通常のマルチブラケット) 検査診断料55,000円
装置料693,000円
通院ごとに調整料5,500円(保定中は3,300円) -
マルチブラケットBタイプ(ハーフリンガル) 検査診断料55,000円
装置料913,000円
通院ごとに調整料5,500円(保定中は3,300円) -
インビザライン(マウスピース) 検査診断料55,000円
装置料935,000円
通院ごとに調整料5,500円(保定中は3,300円) -
部分的な矯正 検査診断料55,000円
保定装置料33,000円
装置料60,500~330,000円
通院ごとに調整料5,500円(保定中は3,300円)
(※すべて税込価格)