カテゴリー:
ホワイトニング
ホワイトニング
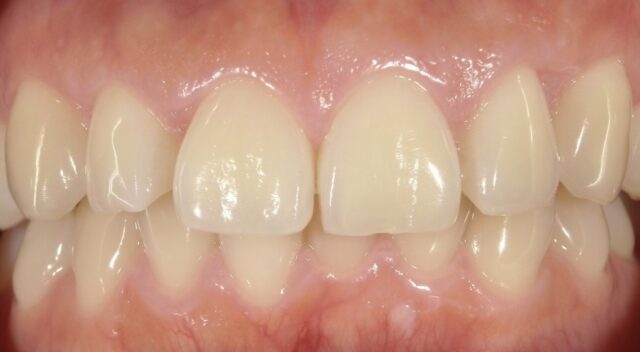
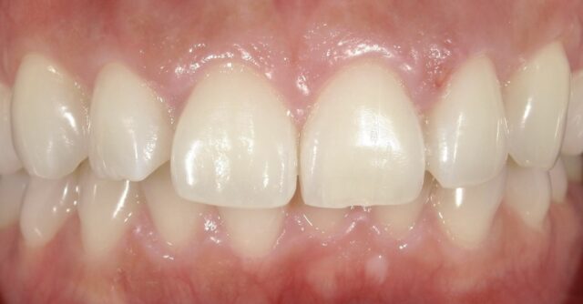
しみないホワイトニングをしたい

Before

After
| 主訴 | 歯を白く、より効果的に長持ちさせたい |
|---|---|
| 診断名 | 審美障害 |
| 年齢・性別 | 30代 女性 |
| 治療期間・回数 | 4回、2週間程度 |
| 治療方法 | ホームホワイトニング |
| 費用 | 28,000円 |
| デメリット・注意点 | 薬剤を使用する際、まれに痛みを感じたり、沁みたりする場合があります。 |
スーパーエナメルホワイトニング
スーパーエナメルで歯をキレイに治したい

Before

After
| 主訴 | 歯を削らずにキレイにしたい |
|---|---|
| 診断名 | 審美不良 |
| 年齢・性別 | 40代男性 |
| 治療期間・回数 | 2カ月、4回 |
| 治療方法 | 上の前歯6本を歯を一切削らずに行うスーパーエナメルVTの治療を行った。下の歯や奥歯はオフイスホワイトニングの施術を行った |
| 費用 | 70.000円×6本 +オフイスホワイトニング 25.000円 |
| デメリット・注意点 | 強い衝撃によりセラミックが欠けたりする可能性があります。 |
スーパーエナメルホワイトニング
スーパーエナメルで歯を削らずにキレイに治したい

Before

After
| 主訴 | 歯を削らずにキレイにしたい |
|---|---|
| 診断名 | 審美不良 |
| 年齢・性別 | 40代女性 |
| 治療期間・回数 | 2カ月、4回 |
| 治療方法 | 前歯6本を歯を一切削らずに行うスーパーエナメルVTの治療を行った。下の歯や奥歯はオフイスホワイトニングの施術を行った |
| 費用 | スーパーエナメルVT 70.000円×6本 +オフイスホワイトニング1回 25.000円 |
| デメリット・注意点 | 強い衝撃によりセラミックが欠けたりする可能性があります。 |
スーパーエナメルホワイトニングラミネートベニア
歯を削らずにキレイな歯にしたい

Before

After
| 主訴 | 前歯6本をキレイにしたい |
|---|---|
| 診断名 | 審美不良 |
| 年齢・性別 | 50代女性 |
| 治療期間・回数 | 2か月、8回程度 |
| 治療方法 | 真ん中2本は保険の古いプラスチックで大きく治療されていたため、ラミネートべニアで修復し、他の4本は削らないスーパエナメルで治療しています。ホワイトニングも行っています |
| 費用 | 96,000円×2本+66,000円×4本分 |
| デメリット・注意点 | 強い衝撃によりセラミックが欠けたりする可能性があります。 |
ホワイトニング
歯を白く、より効果的に長持ちさせるホワイトニング

Before

After
| 主訴 | 歯を白く、より効果的に長持ちさせたい |
|---|---|
| 診断名 | 審美障害 |
| 年齢・性別 | 30代 女性 |
| 治療期間・回数 | 5回、2週間程度 |
| 治療方法 | デュアルホワイトニング |
| 費用 | 65.000円 |
| デメリット・注意点 | 歯の白さを保つには、繰り返しの来院が必要になります。 薬剤を使用する際、まれに痛みを感じたり、沁みたりする場合があります。 |