カテゴリー:
ドクターブログ
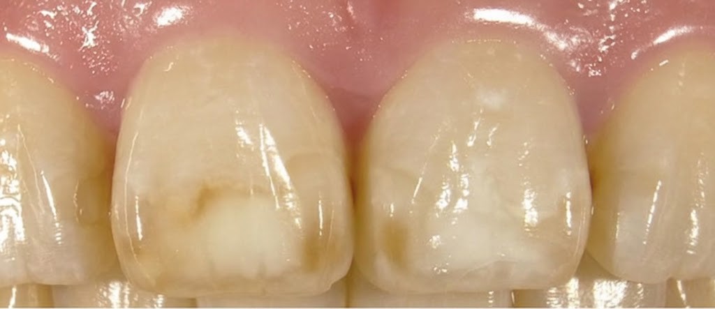
🦷【札幌】前歯の白い・黄色い・茶色い斑点でお悩みの方へ
ホワイトスポット・イエロースポット・ブラウンスポットは、削らずに改善できる時代です。
「前歯の白い斑点がずっと気になっている…」 「ホワイトニングをしてもムラが残ってしまう…」 「黄色や茶色のまだら模様がある…」
実は、このようなお悩みでご相談に来られる患者様が非常に増えています。 そして、多くの方がこのように考えていらっしゃいます。
👉 「治せるものだと思っていなかった」 👉 「治すには削るしかないと思っていた」
しかし、諦める必要はありません。
■ その正体は「歯の内部構造の問題」です
これらはすべて、**エナメル質の密度の違いによる「光の屈折(見え方)の問題」**です。
● ホワイトスポット
歯の表面が白く濁って見える部分です。
- 原因: 初期むし歯(脱灰)、矯正後のケア不足、エナメル質形成不全(MIH)など
● イエロースポット
黄色くまだらに見える状態です。 👉 ホワイトスポットよりも、少し深い層に原因があります。

● ブラウンスポット
茶色く見える状態です。 👉 さらに深い層に原因があり、治療の難易度が高い状態です。

■ なぜ斑点が見えるのか?
健康な歯は、光を均一に透過・反射します。 しかし、スポットがある部分は以下のようになっています。
- 内部に微細な**「空隙(すき間)」**がある
- そこで光が乱反射する
- その結果、白・黄・茶色に浮き出て見える
■ 当院の治療コンセプト(ここが最も重要です)
当院が大切にしているのは、**「いきなり歯を削ることはしない」**ということです。 以下のステップで、段階的にアプローチします。
① ホワイトニング(※非常に重要)
特にイエロースポットやブラウンスポットの場合、ホワイトニングは必須です。 全体を明るくして「色のコントラスト」を整えないと、斑点だけが浮いて見えてしまうからです。
👉 ホワイトニングは、きれいな仕上がりのための「土台作り」です。
② ICON(アイコン)治療
「削らずに改善する」ための主軸となる治療です。(詳細は後述)
③ 必要に応じた修復
アイコン治療だけではカバーしきれない場合のみ、最小限の範囲で以下の処置を検討します。
- ダイレクトボンディング(精密な詰め物)
- ラミネートベニア(表面を薄く覆う処置)
■ ICON(アイコン)治療とは?
歯を削ることなく、薬剤を浸透させて白斑を改善する最新の治療法です。
● 仕組み
白い斑点部分は、内部に空気が含まれたスカスカな状態です。 そこに**「低粘性レジン」を浸透させる**ことで、
✔ 光の乱反射を抑える
✔ 周囲の健康な歯の色と馴染ませる
という効果が得られます。
● 特徴
- 削らない: 歯の寿命を縮めません
- ほぼ痛みなし: 麻酔も不要です
- 自然な仕上がり: 自分の歯のような透明感が戻ります
- スピーディー: 1回の通院で改善することが多いです
■ 正直にお伝えします:限界について
すべての症例がアイコン治療だけで完治するわけではありません。
- 適応しやすいケース: ホワイトスポット、軽度のイエロースポット
- 難しいケース: 深層のブラウンスポット、重度のMIH 👉 この場合は、ホワイトニングや他の治療法との**「組み合わせ」**が必要になります。
■ よくある誤解
❌ ホワイトニングだけで治る 👉 逆に斑点が目立ってしまうこともあります。適切な診断が必要です。 ❌ 治すには削るしかない 👉 今は「削らずに浸透させる」という選択肢があります。
■ こんな方はぜひご相談ください
- 前歯の白・黄・茶色の斑点が気になっている
- 矯正装置を外した後に白斑が出てきた
- ホワイトニングをしたらムラが目立つようになった
- できるだけ歯を削らずに、自然にきれいにしたい
■ まとめ
ホワイトスポット・イエロースポット・ブラウンスポットは、**「正しい診断」と「正しい手順」**を踏めば大きく改善できます。
現在は、歯を削らずに美しくできるケースが増えています。 「まずは相談だけでも大丈夫です」
同じお悩みを持つ多くの方が、笑顔を取り戻されています。あなたのケースも改善できる可能性がありますので、お気軽にお問い合わせください。
当院では、審美歯科に精通した歯科医師が、あなたの歯の状態に合わせた最適なプランを丁寧にご説明いたします。
医療法人東札幌三輪デンタルクリニック 院長:三輪 智之
👉 カウンセリングも受け付けております。