カテゴリー:
ドクターブログ
「前歯のすき間が気になる…けど削りたくないあなたへ。進化する“ダイレクトボンディング”という選択
✦ はじめに:すき間が気になるあなたへ
最近、「前歯のすき間が気になってきたんです」「矯正したけど、歯と歯の間に黒い三角形が残っていて気になる」というご相談が増えています。


とくにインビザラインなどの矯正治療が身近になってきたことで、「歯並びは整ったけど、歯と歯の間にすき間が…」という新たなお悩みも。
そんな中、東札幌三輪デンタルクリニックでは、“歯を一切削らずにすき間を自然に埋める”ダイレクトボンディングという治療が注目を集めています。
✦ 矯正後に増えている「すき間」のお悩み
矯正で整ったはずの歯並び。でも…
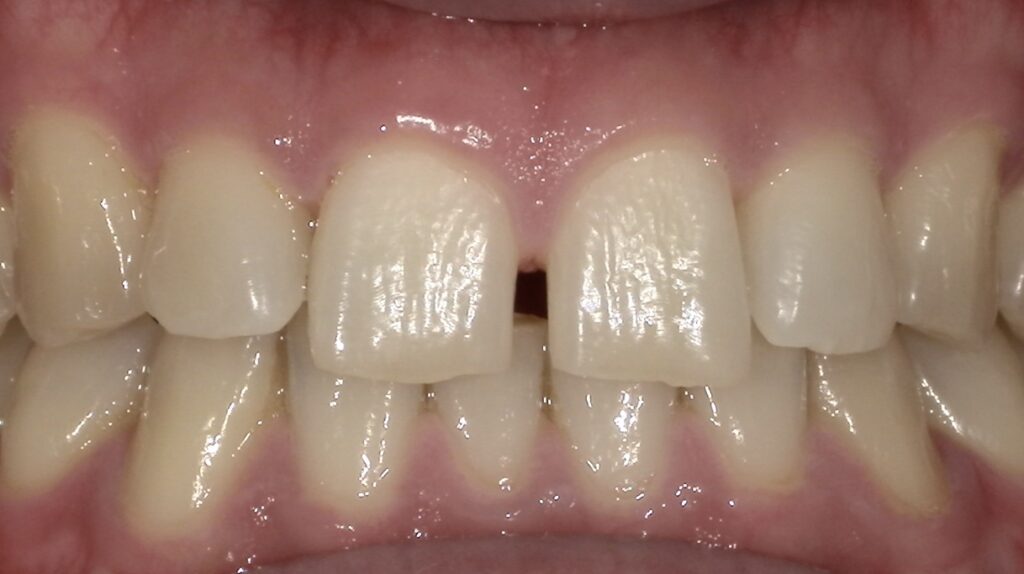
歯と歯の間にすき間ができてしまった
歯ぐきが下がって黒いすき間(三角形)が目立つ
息がもれる、話しづらい、見た目が気になる
これらは「ブラックトライアングル」や「こけい空隙」と呼ばれる状態で、多くの方が悩まれています。
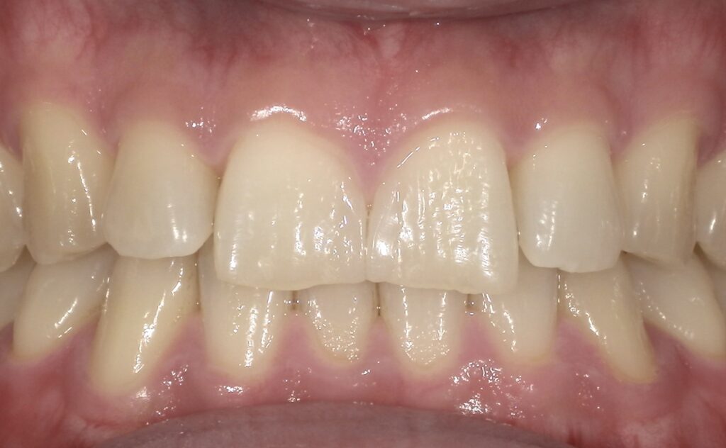
✦ 歯を一切削らずに、自然な仕上がりに
当院では、「なるべく歯を削らない」「健康な歯を大切にする」という理念のもと、ダイレクトボンディングによる治療を行っています。
✅ ダイレクトボンディングとは?
特殊な高品質レジン(樹脂)を歯に直接盛り足して、自然な形に整える治療法です。
歯を削らずに治療可能(エナメル質を残す)
矯正よりも短期間で対応できる
見た目がとても自然で審美性が高い
小さなすき間なら1回の治療で終了
✦ 「矯正はしたくないけど、すき間は埋めたい」そんな方に選ばれています
ここ数年、当院でダイレクトボンディングを希望される患者様が増えています。
その中でも特に多いのが…
矯正まではしたくない
歯を絶対に削りたくない
自分の歯を活かしながら、きれいにしたい
そんな方が「ダイレクトボンディングならやってみたい」とご相談に来られます。
とくに2025年に入ってからはご相談数も治療件数も大きく増加。これまで蓄積してきた症例数と技術により、より自然な仕上がり、より長持ちする方法での提供が可能になってきました。
https://www.miwadental.jp/case-category/direct-bonding
✦ まとめ:自然な笑顔を取り戻すために
前歯のすき間、矯正後の空隙、歯ぐきの後退による黒い三角形…
「気になるけど、削りたくない」
「矯正はもうしたくない」
そんなあなたには、ダイレクトボンディングという新しい選択肢があります。
まずは無料カウンセリングで、お口の状態をしっかり確認したうえで最適な方法をご提案いたします。
✅ ご相談はWEB予約から
札幌市の保存治療にこだわる歯医者 東札幌三輪デンタルクリニック 院長 三輪智之