カテゴリー:
スタッフブログ
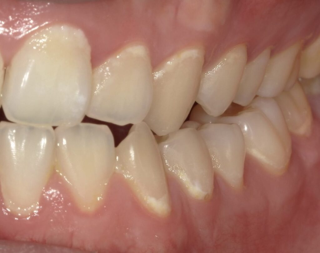
歯のクリーニングで「脱灰」をストップ!札幌市白石区の三輪デンタルクリニックが解説
「最近、歯がしみる」「歯磨きしても口の中がすっきりしない」といったお悩みはありませんか?もしかしたら、それは**「脱灰(だっかい)」**が原因かもしれません。脱灰とは、お口の中が酸性に傾くことで、歯の表面からカルシウムなどのミネラルが溶け出してしまう現象のこと。初期段階であれば自覚症状が少ないため、気づかないうちに進行していることも少なくありません。しかし、この脱灰を放置すると、やがて虫歯へと進行してしまいます。

そこで重要になるのが、歯のクリーニングです。歯のクリーニングは、単に歯をきれいにするだけでなく、脱灰の進行を防ぎ、お口全体の健康を守るための大切な予防歯科処置です。この記事では、札幌市で予防歯科をお探しの方に向けて、脱灰のメカニズムと、当院が提供する効果的な歯石除去、そして丁寧な歯のクリーニングについて詳しく解説します。大切な歯を長く健康に保つために、ぜひ最後までお読みください。
本文①:脱灰と歯石除去の重要性
私たちの歯は、普段、唾液の働きによって再石灰化(溶け出したミネラルが再び歯に取り込まれる現象)を繰り返しています。しかし、飲食によってお口の中が頻繁に酸性に傾いたり、プラーク(歯垢)や歯石が蓄積したりすると、脱灰が優位になり、歯の表面が弱くなってしまうのです。
特に、歯ブラシでは取り除けない歯石は、細菌の温床となり、脱灰を促進させる大きな要因となります。歯石の表面はザラザラしているため、さらにプラークが付着しやすく、悪循環を生み出します。
歯石除去は、この歯石を専門的な器具で徹底的に除去する処置です。歯石がなくなることで、プラークが付着しにくくなり、脱灰のリスクを大幅に減らすことができます。また、定期的な歯のクリーニングでは、歯石だけでなく、普段の歯磨きでは落としきれないプラークや着色汚れも除去し、歯の表面をツルツルに磨き上げます。これにより、細菌が付着しにくい環境を整え、脱灰だけでなく虫歯や歯周病の予防にも繋がります。
札幌市でも、多くの方が歯の健康への関心を高めていますが、日々のセルフケアだけでは限界があります。専門家による定期的な予防歯科処置が、脱灰から歯を守るための最も効果的な方法なのです。健康な歯を維持し、いつまでも美味しく食事を楽しむためにも、ぜひ当院の歯石除去と歯のクリーニングをご検討ください。
本文②:医療法人東札幌三輪デンタルクリニックの強み
医療法人東札幌三輪デンタルクリニックは、札幌市白石区の地域の皆様の口腔健康をサポートする予防歯科に力を入れています。当院の最大の強みは、患者様一人ひとりに合わせた丁寧な説明と、質の高い歯のクリーニング、そして徹底した歯石除去です。
私たちは、まず患者様のお口の状態を詳しく診察し、現状と今後の治療方針について、分かりやすい言葉で丁寧に説明いたします。例えば、「なぜ脱灰が起きているのか」「歯石がどこにどれくらい付いているのか」「どんなクリーニングを行うのか」といった疑問に対し、口腔内カメラの映像などを用いて視覚的に理解していただけるよう努めています。患者様ご自身が納得し、安心して治療を受けていただくことを最優先に考えています。
また、当院の歯のクリーニングと歯石除去は、経験豊富な歯科衛生士が担当いたします。超音波スケーラーやハンドスケーラーを使い分け、歯ぐきに負担をかけずに、歯周ポケットの奥深くに隠れた歯石まで丁寧に除去します。これにより、脱灰の進行を食い止め、虫歯や歯周病のリスクを最小限に抑えます。
さらに、クリーニング後には、フッ素塗布やブラッシング指導なども行い、ご自宅でのセルフケアの質を高めるお手伝いをいたします。患者様からは「今まで受けたクリーニングの中で一番丁寧だった」「説明が分かりやすくて安心できた」といったお声を多数いただいております。札幌市で「本当に丁寧な予防歯科を受けたい」とお考えの方は、ぜひ当院にご相談ください。
本文③:よくある質問と費用目安
Q1. 歯のクリーニングはどれくらいの頻度で受ければ良いですか?
A1. 一般的には3〜6ヶ月に一度の定期的な受診をおすすめしています。お口の状態や生活習慣によって適切な間隔は異なりますので、ご来院時にご相談ください。
Q2. 歯のクリーニングは痛みがありますか?
A2. ほとんど痛みはありませんが、歯石の付着状況や歯ぐきの状態によっては、多少の刺激を感じる場合があります。痛みに弱い方には麻酔を使用することも可能ですので、お気軽にお申し出ください。
Q3. 歯石除去は保険適用になりますか?
A3. 虫歯や歯周病の治療の一環として行われる歯石除去は、保険適用となる場合があります。予防目的の歯のクリーニング(自費診療)もございますので、ご希望に合わせてご提案させていただきます。
費用目安:
歯石除去・クリーニングの費用は、お口の状態や患者様によって状態が異なるため費用については、お口の状態を拝見した上でご説明いたします。ご不明な点がございましたら、お気軽にお問い合わせください。
まとめ
歯の「脱灰」は、初期段階では気づきにくいものの、放置すると虫歯へと進行するリスクのある重要な問題です。この脱灰を防ぎ、健康な歯を維持するためには、日々の丁寧な歯磨きはもちろんのこと、専門家による定期的な歯のクリーニングと歯石除去が不可欠です。
医療法人東札幌三輪デンタルクリニックは、札幌市白石区で「丁寧な説明」と「質の高い歯のクリーニング・歯石除去」を強みとする予防歯科クリニックです。私たちは、患者様一人ひとりに寄り添い、納得して治療を受けていただけるよう、分かりやすい説明を心がけています。
「歯の健康が気になる」「脱灰を防ぎたい」「歯石をきれいに除去したい」とお考えの方は、ぜひ一度、当院にご相談ください。皆様のお口の健康を全力でサポートいたします。
ご予約は、お電話またはWeb予約にて承っております。
監修者
三輪 智之 Tomoyuki Miwa
経歴
2014年3月
東札幌 三輪デンタルクリニック開業
2018年10月
医療法人 東札幌 三輪デンタルクリニック設立
三輪院長は、最新の技術を用いた精密治療と丁寧な説明を心がけ、患者様が納得のいく治療を提供しています。特に、マイクロスコープを使用した保存治療や、なるべく削らない審美歯科に注力し、 患者様に満足していただけるよう日々努めています。スタッフ紹介ページ